
El uso continuo de teléfonos ‘inteligentes’ está provocando un cambio en la forma del cráneo humano, afirman investigadores australianos.
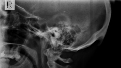
Se trata de un hueso en forma de pico, llamado protuberancia occipital externa, que aparece en la parte posterior de la cabeza, un poco por encima el cuello. Este puede sentirse al tacto y a veces incluso puede resultar visible en personas calvas.

«He sido médico clínico durante veinte años y solamente durante la última década he ido descubriendo de forma creciente que mis pacientes tienen ese bulto en el cráneo», afirmó la semana pasada a la BBC David Shahar, de la Universidad de Sunshine Coast (Australia).
Tras su descubrimiento, el científico decidió llevar a cabo unas investigaciones para determinar el alcance de la propagación de la anomalía. En 2016, lideró un estudio que analizó a 218 personas de entre 18 y 30 años de edad. El trabajo, publicado en la revista Journal of Anatomy, mostró que el 41 % de los participantes tenían en su cabeza ‘picos’ de más de 10 milímetros, mientras que en un 10 % de los examinados superaban los 20 milímetros.
En otra investigación, publicada en febrero de 2018 en la revista Nature, Shahar se centró en determinar la edad de las personas que contaban con ese tipo de formaciones. En el estudio participaron 1.200 individuos de entre 18 y 86 años, y el análisis concluyó que era «significativamente más probable» encontrar estas protuberancias entre los participantes de entre 18 y 30 años.
Un proceso posiblemente irreversible
El científico señala a los dispositivos inteligentes como los responsables de la aparición de este abultamiento.
Cuando nos inclinamos sobre las pantallas, los músculos del cuello se tensan para sostener la cabeza, cuyo peso aproximado es de 4,5 kilogramos. En el lugar donde aparece este ‘pico’ se concentra una gran presión muscular, y los especialistas creen que el cuerpo trata de adaptarse para aliviar esta presión creando nuevos huesos que ayuden a repartir el peso de la cabeza por una superficie mayor.
Cabe destacar que nuestros antepasados también inclinaban la cabeza para realizar diferentes actividades como la lectura, pero no sufrieron ninguna metamorfosis. En ese contexto, los investigadores sostienen que no dedicaban tanto tiempo a leer libros como las personas modernas dedican hoy día a los teléfonos inteligentes, motivo por el cual no sufrieron ningún cambio parecido.
Shahar opina que este proceso es probablemente irreversible y que este ‘cuerno’ seguirá creciendo en el futuro. «Imagínese si usted tuviera estalactitas y estalagmitas, si nadie las molesta, solo seguirán creciendo», comparó.
Fuente: RT













![“Soy enfermera y me infecté por segunda vez de Covid-19. Ahora toda mi familia está contagiada” [Testimonio]](https://archivo.cutivalu.pe/wp-content/uploads/2020/05/testimonio-lady-1-e1590693047591-100x70.jpg)



